新浪健康

肺癌筛查的“金标准”:低剂量螺旋CT

每日新闻摘录

关注

摘要

肺癌是我国高发癌症之一,严重威胁居民身体健康。生活中,不少人会疑惑:“肺癌怎么才能早发现,需要做哪些检查?”,答案其实很明确——低剂量螺旋CT(low-dose computed tomography,LDCT)已成为全球公认的肺癌早期筛查“金标准”

LDCT如何工作呢?为什么会成为早筛首选?

01

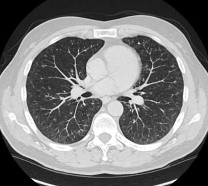
核心原理:“切面包”式扫描

LDCT本质仍是CT。它通过旋转的X射线球管对人体进行快速、连续的螺旋式扫描,受检者深吸气屏气4-6秒即可完成全肺扫描,借助迭代重建技术,能生成肺部毫米级精度的横断面图像,如同将肺部切成一片片薄面包来观察,无重叠、分辨率高,微小病灶清晰可见。

02

成为肺癌早筛首选:“低剂量”与“高效能”的完美平衡

低剂量:一次LDCT检查的有效辐射剂量约为0.2-1.5 mSv(常规胸部CT剂量约为6-10 mSv),甚至低于年均自然本底辐射(约2.4 mSv),辐射剂量控制在安全范围,即使是高风险人群每年筛查,也不会对身体造成额外负担。

高效能:分辨率足以识别毫米级结节,通过优化扫描参数、采用先进算法,在显著降低辐射的同时,其图像质量完全满足早期肺癌的筛查需求。这是胸部X光片(分辨率不足)、常规胸部CT(辐射剂量相对过高)都无法替代的。

哪些人需要主动进行肺癌筛查?

根据《肺癌筛查与早诊早治方案》,建议以下肺癌高风险人群应定期进行LDCT筛查,核心年龄:50-74岁,且至少符合以下任一项:

  • 吸烟相关人群:吸烟包年数≥20包年(例如:每天吸1包烟,烟龄20年;或每天吸2包,烟龄10年),包括已戒烟但时间不足15年者。

  • 长期被动吸烟者:与吸烟者共同生活或同室工作超过20年。

  • 职业暴露人群:曾长期(≥1年)接触石棉、氡、铍、铬、镉、镍、硅、煤烟和煤烟尘等。

  • 有基础肺部疾病者: 本人患有慢性阻塞性肺疾病、肺纤维化,或有肺结核病史。

  • 有肺癌家族史者: 父母、子女、兄弟姐妹等一级亲属患有肺癌。

关于LDCT检查的常见误区澄清

误区一:辐射有害,能不做就不做?LDCT辐射已严格控制,早期肺癌5年生存率超90%,高风险人群放弃筛查才是更大隐患。

误区二:结节=肺癌?多数肺结节为炎性增生、良性肿瘤,仅少数需进一步诊疗,遵医嘱随访即可,无需过度恐慌。

误区三:一次筛查终身无忧?肺癌发病是长期过程,高危人群原则上建议每年筛查。

肺癌防治的关键在“早”,LDCT筛查能让肺癌在可治愈期被发现,大幅降低死亡率。希望肺癌高风险人群主动参与筛查,同时戒烟限酒、减少厨房油烟暴露,养成健康生活习惯。早筛查、早干预,才能为自己和家人守护好呼吸健康。

参考文献:肺癌筛查与早诊早治方案(2024年版)

供   稿:万晶晶

编   辑:金奕斐

责   编:詹   亮

加载中...